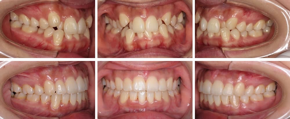
大崎スクエア歯科・矯正歯科クリニックの矯正治療について

【大崎・品川周辺で歯の矯正治療を受けようとお考えの方へ。当院では歯のトータルケアと専門医による矯正治療をあわせて受けることができますので、ぜひお越しください】 信頼できる歯科医院で矯正を受けたいけれど、たくさんあってどこで受けるべきか悩んでいるという方も多いと思います。今は「◯◯矯正歯科」という名の矯正専門医院に限らず、一般の歯科医院でも矯正治療を受けられる時代です。当院は矯正専門歯科と一般歯科を併設している歯科医院の強味を生かして矯正の治療にあたっています。以下では、当院の矯正治療の特徴についてご紹介いたします。 POINT① 矯正専門歯科と一般歯科のワンストップ治療 POINT② 日本矯正歯科学会 認定医による矯正治療 POINT③ 痛くない矯正治療 POINT④ 目立たない矯正装置1 裏側矯正(舌側矯正) POINT⑤ 目立たない矯正装置2 セラミックブラケット・ホワイトワイヤー POINT⑥ 目立たない矯正装置3 マウスピース型矯正装置インビザライン
矯正専門歯科と一般歯科によるワンストップ治療
矯正専門歯科と一般歯科それぞれの特徴についてご紹介いたします。歯科医院選びの際にぜひ参考にされてください。
矯正専門の歯科医院

大学病院で矯正治療を専門に学んだ歯科医が常勤し、患者さまに合わせた質の高い矯正治療を提供します。院内には矯正治療を行うための設備が完備され、矯正治療の知識・技術・経験に優れたスタッフが揃っています。ただ、虫歯治療や歯周病治療などの一般歯科治療には対応していないことが多く、それらの治療を必要とする場合は、一般歯科に別途通院する必要があります。
一般歯科医院

一般歯科医院では、虫歯・歯周病・入れ歯・インプラントなど、総合的な歯の治療を受けることができます。近年、歯科治療に対する要望が多様化してきたことに伴い、幅広い知識と技術で患者さまのニーズに対応しています。専門的な分野を持ちつつも、一般歯科の医師は一通りすべての歯科治療にあたるため、矯正治療専門医でない歯科医師が矯正治療を行うケースもあります。
当院は一般歯科・矯正専門歯科の利点を兼ね備なえています
大崎スクエア歯科・矯正歯科では、矯正歯科医院と一般歯科医院の利点を併せ持った総合歯科医院です。 矯正医による歯並び・咬み合わせの改善はもちろん、一般歯科医師による総合的な歯の治療も行っているため、矯正治療中の虫歯・歯周病治療なども同じ院内で受けていただくことができます。
日本矯正歯科学会認定医が矯正治療を担当いたします

大崎スクエア歯科・矯正歯科では、歯並び・咬み合わせに精通した日本矯正歯科学会認定医が矯正治療を担当いたします。症例や患者さまのご要望を考慮し、適切な治療計画を立案いたします。
矯正専門医から皆様へ
矯正治療中は、お口の中の違和感や見た目が気になる方も多いと思います。そのため、当院ではできるだけ患者さまの負担を軽減するために「痛くない」「目立たない」矯正治療を行うように心がけています。特に痛みに関しては、ワイヤーやブラケットの種類と装着技術を工夫することで、患者さまのストレスを減らせるようにしています。 また、従来のような金属製の装置だけではなく、透明の装置や歯の裏側へ装着するタイプ、そしてマウスピースなどを使うことで目立ちにくくできます。歯並びを良くすることでお口を開けた時の口元が美しくなるだけでなく、バランスの良い噛み合わせが手に入り、歯と全身の健康にも繋がります。矯正治療を検討されている方は、ぜひ一度、当院の無料相談にいらしてください。
大崎スクエア歯科では痛みの少ない矯正治療を心がけております
歯の矯正をしたいけれど、矯正装置を付けるのは痛そう…。そんな患者さまの声をよく耳にします。個人差もありますが、歯を動かす際には多少なりとも、痛みや違和感を感じる場合があります。そのため当院では、緻密な治療計画をはじめ、使用する器具やワイヤーの締め付けなどにこだわり、痛みの少ない快適な矯正治療を心がけております。
ローフリクションシステム(デーモンシステム)

アメリカの矯正歯科医デュイット・デーモン博士によって開発された「ローフリクション(低摩擦)システム(博士の名前を取り「デーモンシステム」とも呼ばれる)」は、痛みを極力抑えた画期的な矯正治療法です。歯に装着したブラケットにワイヤーを縛り付けず、自由に滑らせることで歯への負担を軽減し、痛みを軽減します。 さらに、このシステムには矯正期間の短縮、抜歯せずに矯正治療を行えるなどのメリットもあります。当院では、ブラケットを使って矯正治療を行う場合は、すべてこのデーモンシステムを採用しています。
形状記憶合金ワイヤー&ヒートベンダー

従来の矯正装置の場合、ワイヤーで強く歯を引っ張るため、食事をできない程の痛みが発生することがありました。しかし、当院が採用する形状記憶合金ワイヤーは、材質が柔らかく変形しやすいため、力を分散することができ、痛みを抑えることができます。形状記憶合金ワイヤーは、ヒートベンダーという特殊な装置を使用し、治療計画どおりに精密な調整を致します。
見た目に配慮した矯正装置で快適な矯正治療が可能です

大崎スクエア歯科・矯正歯科では、透明なマウスピース型の矯正装置をはじめ、裏側矯正(舌側矯正)やセラミックブラケットなど、見た目に配慮した矯正装置を多数ご用意しております。患者さまのご要望や歯並びなどを考慮し、適切な装置をご提案いたします。
目立たない矯正装置① 裏側矯正(舌側矯正)

矯正治療を敬遠されている方の多くが、「矯正装置が目立つのが嫌」とおっしゃいますが、そんな方におすすめするのが裏側矯正です。通常の矯正治療では、装置を歯の表に取り付けますが、これを裏側に取り付けることで、目立たずに矯正治療を受けていただくことができます。さらに、矯正装置を歯の表に取り付ける場合、歯の表面のエナメル質が削れてしまうこともありますが、裏側矯正なら歯の表のエナメル質に影響を与えることはありません。
裏側矯正(舌側矯正)の特徴
①衛生的
矯正治療中は、歯磨きが行き届かないことが原因で、装置が取り付けられている部分に虫歯ができやすいのですが、歯の裏側には常に唾液があり、その殺菌作用で虫歯菌が増えにくくなっています。さらに、歯の表面にあるエナメル質は裏側の方が表側の約3倍も厚いため、細菌に侵されにくいという特徴もあります。それでも、矯正治療中はしっかりと歯磨きを行い、常にお口の中を衛生的に保つようにしましょう。
②出っ歯を戻しやすい
裏側矯正は、前歯を正常な位置に戻すことにとても適しています。さらに、舌で前歯を押す癖も治療中に改善されていきますので、治療後に再度歯が出てしまうリスクも抑えることができます。
違和感が少ないオーダーメイドの裏側矯正「インコグニート」

「インコグニート」は、患者さま一人ひとりの歯に合わせてオーダーメイドできる裏側矯正システムです。そのため、非常に精度が高く、装置も小さいため、装着している際の違和感がかなり軽減されます。さらに、歯の裏側を覆うように装着することによって、虫歯になりにくいというメリットもあります。
インコグニートの特徴
・オーダーメイドですので、患者さま一人ひとりにより適した装置をお作りすることができます。 ・装置がかなり薄いため、お口の中の違和感や発音障害のリスクを軽減できます。 ・効率よく歯を理想の位置に動かしていくことができます。 ・治療期間が短縮されます。装置の脱着が少なく、虫歯のリスクも下げられます。
インコグニートと従来の裏側矯正の違い
形態
インコグニート: 非常に薄い ※オーダーメイドのため、歯にフィットする。そのため、装置の脱落が少なく、虫歯にもなりにくい 従来の裏側矯正装置(リンガルブラケット): 厚みが出てしまう
発音の障害
インコグニート: 薄いため、発音障害が出にくい 従来の裏側矯正装置(リンガルブラケット): 特にサ行・タ行・ラ行の発音に支障が出やすく、慣れるまでに1~2ヶ月の期間が必要
制作方法
インコグニート: コンピューターを使って、患者様一人ひとりに合うものをオーダーメイド 従来の裏側矯正装置(リンガルブラケット): 既製品
材質
インコグニート: 貴金属・ゴールド(金合金) 従来の裏側矯正装置(リンガルブラケット): ニッケル・コバルト等の非金属
アレルギー有・無
インコグニート: 金合金のため、アレルギーが少ない 従来の裏側矯正装置(リンガルブラケット): 金属アレルギーの可能性あり
治療に使うワイヤー
インコグニート: ワイヤーも全てコンピューターによって製作される 従来の裏側矯正装置(リンガルブラケット): 矯正歯科医が手でワイヤーを曲げる
治療期間
インコグニート: 治療期間中に取り替えるワイヤーもすべて事前に製作するため、治療期間が短縮できる 従来の裏側矯正装置(リンガルブラケット): 装置脱落やワイヤー精度低下によって、治療期間が長くなることもある
インコグニートを使用することで、従来の裏側矯正よりはるかに快適で効果的な矯正治療が可能になりました。そのため、当院では裏側矯正をご希望の患者さまにはすべてインコグニートを採用しています。
目立たない矯正装置② セラミックブラケット・ホワイトワイヤー
歯の表面に貼り付けるブラケットやワイヤーに、歯の色調に近いセラミックなどを用いた矯正装置です。矯正装置が歯と同化するため、目立ちにくくなります。
一般的なセラミックブラケット

歯の色に近いセラミック製の矯正装置を使うことで、目立たずに矯正治療を行うことができます。また、マウスピースを使った矯正治療とは異なり、症例の適用範囲が広く、治療期間が長びかない点もセラミックブラケットの利点です。
インビュー(InVu)

セラミックブラケットを使った矯正治療のなかでも、自然で目立ちにくいものが、「インビュー」です。歯に装着する矯正装置は歯の色に馴染むように設計されており、ワイヤーも白いものを使用しますので、ほとんど目立たずに矯正治療を受けていただくことができます。また、治療中に変色・着色することもほとんどなく、通常のセラミックブラケットよりも薄く作られている分、お口の中の違和感も軽減されています。
目立たない矯正装置③ マウスピース型矯正装置インビザライン

「インビザライン」は、透明のマウスピースを使って歯を移動させていく矯正の治療法です。コンピューターで製作したお口にフィットするマウスピースを、約2週間毎に新しいものに取り替えながら、歯を徐々に理想の場所に移動させていきます。
特にこんな方にお勧めです
・接客・営業・CAなど、人前で話すことが多い方 ・自分で取り外し可能な装置で、矯正治療を行いたい方 ・これまで通り、美味しい食事を楽しみながら治療を進めていきたい方 ・金属アレルギーをお持ちの方
マウスピース型矯正装置インビザラインの特徴
目立ちにくい

インビザラインは、透明のマウスピースを使っているので、見た目にもわかりにくく、矯正治療をしていることを知られたくない人におすすめです。
取り外しができる

患者さまご自身で取り外しが可能なため、普段通りのお食事を楽しんでいただくことができます。また、歯磨きもこれまで通り、ご自身でできる上、マウスピースも丸ごと洗浄できるので、衛生面の管理もしやすいというメリットがあります。
シミュレーションができる
3次元のコンピューターシミュレーションによって、矯正の歯をどのように動かしていくのか、事前に確認できるので、安心して治療を進められます。
痛みや違和感が少ない

従来の矯正装置のように、装着による痛みや口内炎を発症させる心配がほとんどありません。また、ゆっくり歯を動かすため、違和感なども感じにくい設計となっています。
治療実績が豊富

インビザラインはアライン・テクノロジー社が1997年に開発した矯正方法で、これまで100カ国以上の国々で約900万人の方(2020年10月時点)が矯正治療を受けています。
ケガのリスクが低い

マウスピースの素材は弾力があるため、転倒や衝突の際にケガをするリスクが低いです。また、取り外しができるため、運動の際も不安なく楽しんでいただけます。
通院回数が少ない

矯正治療で使用するマウスピースは、1~2週間毎に患者さまご自身が新しいものに交換するため、症例によっては、1~2ヵ月に一度の通院でOKな場合もあります。
金属アレルギーでも大丈夫

インビザラインはプラスチック製で金属を一切使用していないので、金属アレルギーをお持ちの方も安心してお使いいただけます。
発音にも影響が少ない

マウスピースは暑さが0.5㎜と薄いため、装着時の発音や滑舌にもほとんど影響がありません。
インビザラインが適さないケース
・歯のでこぼこが大きく、抜歯が必要な場合 ・歯を大幅に移動させる必要がある場合 ・上下の顎の位置がズレている場合 ・まだ永久歯が生えそろっていない方 上記に当てはまる方でも、従来の矯正とインビザラインを併用することで、ワイヤーを装着する期間を短縮できる場合もあります。
インビザラインの治療の流れ
精密検査

インビザラインによる矯正治療をご希望される方は、まずレントゲン・歯型・口腔内写真などの各種検査を行い、適切な治療計画を作成していきます。
インビザライン作製

レントゲンなどの検査結果を元に、3次元コンピューターシミュレーションを行い、その結果に基づいてインビザラインを製作します。(マウスピースができあがるまでに、およそ1カ月間かかります)
治療開始

マウスピースの装着を開始します。通常、治療期間はおよそ1年半~2年半程度で、この間は1ヵ月ごとに通院していただき、歯の状態をチェックします。また、歯の動きに合わせて2週間毎を目安に新しいマウスピースに取り替えていきます。
保定

歯の移動が終わった後、再び歯が元の位置に戻ってしまわないように保定装置を取り付けます。保定期間が終われば、すべての矯正治療が完了となります。
短期間の矯正治療が期待できる「インプラント矯正」にも対応

一般的なインプラントではなく、矯正用のインプラントを駆使した矯正方法です。矯正治療専用のスクリュー(チタンでできたねじ状のもの)を骨に埋め込み、そこを支点に歯に力をかけていく矯正法で、しっかりと力をかける土台を作ることで、治療期間を6~8カ月短縮できることもあります。 また、インプラントはお口の中の後方に埋め込むため、ほとんど目立ちにくいというメリットがあります。矯正用のインプラントを埋め込む際は局所麻酔を使用しますが、治療時間は10~20分程度です。インプラントは非常に細いものを使用しますので、ほとんど痛みや腫れはなく、矯正治療終了後に傷跡が残ったりすることもありません。
インプラント矯正の特徴
①治療期間が短くなる
インプラント矯正治療は、顎の骨に埋め込んだインプラント(チタン製のネジ)を使って歯に力を加えるため、効率よく歯を移動させることが可能です。そのため、治療期間も短く、インプラントの埋め込みや撤去も1回の処置で済みます。
②難症例にも対応できる
通常の矯正治療の場合、歯の位置によっては力をうまく加えることができないケースもありますが、インプラント矯正なら、奥歯の移動や伸びてしまった歯を短くする矯正治療も可能です。
③抜歯の必要がない
インプラント矯正なら奥歯を後ろに移動させることができるため、従来の矯正のようにスペースを確保するための抜歯をせずに済みます。
④治療成果が良い
固定源があるインプラント矯正の場合、歯に力を加える向きや大きさを細かく調整することが可能です。そのため、ヘッドギアなど補助的な矯正器具を使用することなく、よい治療の成果を得ることができます。
⑤インプラントの埋め込み
矯正治療用のインプラントは2~3mm程度の非常に細いネジ状のもので、骨に埋め込む施術もわずか10~20分。太い血管や神経の位置などをしっかりと確認した上で埋め込みを行いますので、安心です。さらに、埋め込んだ後もほとんど痛みがないので、日常生活に支障をきたすこともありません。
矯正用インプラントの埋入について
手術時間
インプラントを埋め込む手術の時間は、1本あたり約10~20分ですので、日帰りで手術が可能です。※術日前の検査や術後の経過観察などが必要です。
インプラントの材質と形状
骨に埋め込むインプラントは、人体に害がなく、馴染みやすいチタン製のものを使用。骨としっかり固定させるために細いスクリュー(ネジ)型をしています。
麻酔
インプラントの埋め込み手術は、局所麻酔下で行います。大掛かりな手術ではないので、使用する麻酔の量も比較的少なめです。
痛みや腫れ
インプラントの埋め込み直後に、多少痛みや腫れが生じることもありますが、ほとんどの場合、2~3日以内に治まります。
術後のケア
インプラントを埋め込んだ後は、口腔内の衛生管理をしっかり行うようにしましょう。毎日の歯磨きはもちろん、歯のトータルケアをしながら矯正治療を進める当院で、エアフローやPMTCなど、本格的な歯のクリーニングを受けるのも効果的です。
結婚式までに歯並びを改善するブライダル矯正にも対応!
ブライダル矯正とは、結婚式までに前歯を中心に歯並びをきれいにしていく矯正治療です。もちろん、結婚式当日までに矯正装置をすべて取り外しますので、当日はご自身のきれいな歯で迎えていただくことができます。 なお、ご希望の方は結婚式終了後に再度治療を行い、すべての歯を理想的に矯正することも可能です。 ※結婚式までの期間が2カ月を切っている場合は、満足いただく結果を出すことが難しいため、できるだけお早目にご相談ください。
できるだけ天然歯を抜かない非抜歯矯正を心がけています

矯正治療では、歯が収まるスペースを得るために健康な歯を抜歯することも少なくありません。しかし、将来的な咬み合わせや咀嚼効率等を考慮すると、できるだけ歯を抜かずに歯並びを改善したいというのが歯科医師の本音でもあります。そのため、当院では下記の処置によって、できるだけ非抜歯で矯正治療が行えるよう努めております。
遠心移動

遠心移動とは、現在の歯の位置を奥歯側に少しずつ動かすことによって矯正治療に必要なスペースを確保する方法です。マウスピース矯正やインプラント矯正との相性が良く、歯を抜かずに歯並びを改善することができます。
IPR法

IPR法とは、歯の両端のエナメル質を少しずつ削り、一つひとつの歯の幅を小さくすることによって矯正治療に必要なスペースを確保します。エナメル質の切削については、0.2㎜~0.5㎜という僅かな量に留めるため、歯の健康状態には影響がありません。
症例によっては抜歯が必要となる場合もございます
当院では、できる限り歯を抜かない非抜歯矯正に努めておりますが、良い治療結果が得られない場合には、抜歯矯正をおすすめする場合もございます。抜歯を伴う矯正治療がどのようなものなのか、下記の「上下第一小臼歯抜歯による矯正治療」の動画にてご確認下さい。
矯正治療を推奨する代表的な歯並びについて
叢生(八重歯など)

叢生は歯が様々な向きに生え、ばらばらな状態の歯並びです。歯が重なった部分のケアが難しいため、虫歯や歯周病リスクが高くなります。また、見た目も悪くコンプレックスに感じる方も少なくありません。
上顎前突(出っ歯)

上顎前突は上の顎や歯が前方に出ている状態の歯並びです。口腔内が乾燥しやすいため、唾液の殺菌作用が低下し、虫歯や歯周病リスクが高くなります。また、見た目が悪いことや前歯を損傷しやすいことも特徴です。
下顎前突(受け口)

下顎前突は下の顎や歯が前方に出ている状態の歯並びです。前歯の咬み合わせが悪く、奥歯の使用頻度が高くなるため、奥歯の喪失リスクが高くなります。また、顎骨にも負担がかかるため、顎関節症になりやすいという特徴があります。
開咬(オープンバイト)

開咬は上下の歯を咬み合わせた際、前歯が咬み合わずに隙間ができてしまう歯並びです。正しい咀嚼ができないため、胃腸などの消化器官に負担がかかります。また、口腔内が乾燥しやすく、唾液の殺菌作用が低下するため、虫歯・歯周病リスクが高くなります。
過蓋咬合(ディープバイト)

過蓋咬合は上下の歯を咬み合わせた際、下の歯が見えなくなるほど上の歯の咬み合わせが深い歯並びです。下の歯で上の歯茎を傷つけたり、正しい咀嚼ができないことで顎骨や胃腸に大きな負担がかかったりなど、様々な問題が懸念されます。
空隙歯列(すきっ歯)

空隙歯列は歯と歯の間が大きく開いた状態の歯並びです。食べ物が挟まりやすいため、虫歯や歯周病リスクが高くなります。また、見た目の問題や歯の間から空気が抜けることによる発音障害などが懸念されます。
1本から数本の歯並びを改善する部分矯正にも対応

部分矯正が適しているケース
・出っ歯や受け口でも症状が軽いもの ・前歯の中で2本だけ歯並びが悪い ・1本だけ飛び出ている歯がある ・少しだけ歯がでこぼこしている ・以前、矯正治療を受けていたが、歯の位置が戻り始めた ・インプラント治療や補綴治療のために、倒れかけている歯を起こす必要がある
部分矯正が適さないケース
・奥歯の噛み合わせが悪い ・顎骨の位置が上と下で揃っていない ・歯のでこぼこの状態が激しい
部分矯正の特徴
①治療期間が短縮できる
通常の矯正治療期間は約2年ですが、部分矯正の場合は約3~6カ月くらいまで治療期間を短縮することができます。(治療期間には個人差があります)
②費用負担が少ない
部分矯正なら、通常の矯正に比べておよそ1/3~1/5くらいの費用で治療を行うことができます。(費用は症状によって異なります)
③目立ちにくい
部分矯正の装置は小さいため、目立ちにくく、お口の中の違和感も少なくなります。 部分矯正には、通常の矯正より抜歯の可能性が低いこと、インプラント・入れ歯などの治療前に部分矯正をすることで機能回復の可能性を高められるといったメリットがあります。ただし、部分矯正がすべての症例に適応できるわけではありませんので、まずは当院の無料相談へお越しください。
大崎で痛みや見た目に配慮した矯正治療をご希望の方へ

大崎スクエア歯科・矯正歯科では、治療時の痛みや見た目に配慮した快適な矯正治療を実施しております。日本矯正歯科学会認定医が診査・診断を行い、患者さま一人ひとりの口腔内状況やご要望にあった治療計画をご提案いたします。大崎にて痛みや見た目に配慮した矯正治療をご希望の方はぜひ、当院までお気軽にご相談ください。








